アルバム

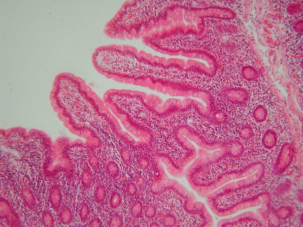
4.消化管粘膜 HE染色





トップへ
戻る
前へ
次へ